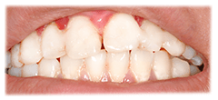
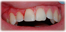
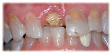
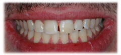
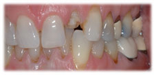
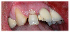
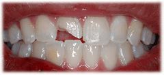
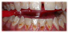
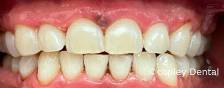
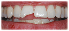
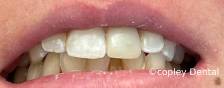
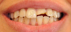
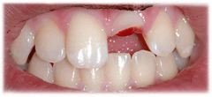
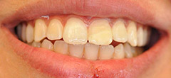
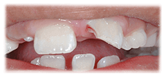
Gallery Emergency Dentist CASE # 1: Emergency Dentist โ Fractured Tooth Before After Cosmetic Dentistry CASE # 2: Cosmetic Dentistry โ Lumineers Before After CASE # 3: Emergency Dentist โ Fractured or Broken Tooth Before After CASE #4: White filling โ Teeth Whitening Before After CASE # 5: Emergency Dentist โ Fractured or Broken Tooth Before After CASE # 6: Cosmetic Dentistry โ All-Porcelain Crowns Before After CASE #7: Emergency Dentist โ Fractured Tooth Before After CASE #8: Cosmetic Dentistry โ Teeth Whitening Before After CASE #9: Emergency Dentist โ Fractured Tooth Before After CASE #10: Cosmetic Restoration โ White Filling Before After CASE #11: Emergency Dentist โ Broken/Chipped Teeth Before After CASE #12: Cosmetic Dentistry โ Dental Veneer Before After CASE #13: Emergency Dentist โ Fractured Tooth Before After CASE #14: Dental Trauma โ Fractured Tooth Before After CASE #15: Emergency Dentist โ Fractured Tooth Before After CASE #16: Broken/Fractured Tooth Before After CASE #17: Emergency Dentist โ Broken Teeth Before After CASE #18: Broken Tooth Before After CASE #19: Emergency Dentist โ Fractured Tooth Before After CASE #20: Fractured Tooth Before After CASE #21: Emergency Dentist โ Fractured Tooth Before After CASE #22: Fractured Dental Crown Before After CASE #23: Emergency Dentist โ Broken Tooth Before After CASE #24: Emergency Dentist โ Broken Tooth Before After CASE #25: Emergency Dentist โ Fractured Tooth Before After CASE #26: Broken / fractured Tooth Before After CASE #27: Emergency Dentist โ Fractured Tooth Before After CASE #28: Emergency Dentist โ Broken / Fractured Tooth Before After CASE #29: Emergency Dentist โ Broken Teeth Before After CASE #30: Cosmetic Dentistry โ Dental Veneer Before After CASE #31: Cosmetic Restoration Before After CASE #32: Cosmetic Dentistry โ Dental White filling Before After CASE #33: Emergency Dentist โ Fractured Tooth Before After CASE #34: Emergency Dentist โ Fractured Tooth Before After CASE #35: Broken / fractured tooth Before After CASE #36: Emergency Dentist โ Broken tooth Before After CASE #37: Emergency Dentist โ Broken / Fractured Tooth Before After CASE #38: Emergency Dentist โ Fractured tooth Before After CASE #39: Emergency Dentist โ Broken tooth Before After CASE #40: Emergency Dentist โ Fractured Tooth Before After CASE #41: Emergency Dentist โ Avulsed Tooth Before After CASE #42: Emergency Dentist โ Broken tooth Before After CASE #43: Emergency Dentist โ Avulsed Tooth Before After CASE #44: Broken / fractured tooth Before After CASE #45: Cosmetic Dentistry โ Dental Veneer Before After CASE #46: Broken / fractured tooth Before After CASE #47: Broken / fractured tooth Before After CASE #48: Broken / fractured tooth Before After CASE #49: Broken / fractured tooth Before After CASE #50: Bike accident root canal, Reimplantation of natural teeth Before Before CASE #51: Broken / fractured tooth Before After